灰鑄鐵在高碳當量(4.10%CE以上)條件下,微量的鈦能夠提高鑄鐵件的力學性能并改善鑄件不同斷面的均勻性。本文研究了在中低碳當量(3.65%~3.85%CE)條件下,不同鈦量對灰鑄鐵件組織、力學性能和致密性等質量的影響。試驗結果表明:鈦促進了鑄鐵件D型石墨的形成;當D型石墨達到一定比例時,尤其是Si/C較高的情況下,其力學性能增加明顯;隨著鈦、鋁量的增加,灰鑄鐵件的致密性下降,縮松概率增加。
在鑄鐵件的生產過程中,伴隨著生鐵和廢鋼等金屬爐料的大量使用,鈦或多或少進入了鐵液之中。大量研究資料指出灰鑄鐵中加入鈦后,大部分鈦化合物存在于金屬基體中,但仍有一部分鈦的氮化物或碳氮化物存在于鐵素體與石墨界面層內。硬度為3200 HV或更高的鈦化合物大大降低鑄鐵的切削加工性能。另外過高的鈦量(0.096%)在切削鑄件時產生熱裂紋。但是添加鈦的D型石墨鑄鐵件具有良好的抗氧化性、抗生長和抗熱疲勞性能,在500~700 ℃工況下,與常用CrMoCu鑄鐵相比,使用壽命可提高3倍。在球墨鑄鐵中鈦作為干擾元素被嚴格禁止。但在部分蠕墨鑄鐵中,鈦作為擴大蠕化處理范圍的有益元素添加到蠕化劑中。在高碳當量條件下,微鈦合金化能夠提高灰鑄鐵件的強度與硬度,改善鑄件的斷面均勻性。微量的鈦還可中和鑄鐵中過多的氮氣,用來減少裂隙狀氮氣孔的發生頻率。鈦在鑄鐵中的作用有利有弊,本文中通過試驗研究了不同造型條件下,鈦對中低碳當量灰鑄鐵件石墨形態和力學性能的影響,并定量分析了不同鈦含量對灰鑄鐵件致密性的影響。
1、試驗條件與方法
由于鈦可增加高碳當量灰鑄鐵件的力學性能,本試驗選擇中低碳當量的灰鑄鐵件作為對象,研究不同砂型條件下鑄件組織的變化。試驗采用250kg中頻感應爐熔煉,爐料配比:Z14生鐵40%,回爐料30%,廢鋼30%,一部分增碳劑和鉻、銅合金。測溫采用浸入式熱電偶,出鐵溫度1500~1530 ℃,澆注溫度1360~1400 ℃,爐前采用0.5%加入量的75硅鐵孕育處理。
鑄件分別采用水玻璃砂和粘土煤粉砂造型,其粘土砂性能控制在:水分4.0%~5.0%,緊實率50%~70%,透氣性120~130,濕壓強度0.12~0.14 MPa。砂型硬度控制在65~85之間,平面硬度在中上限,立面硬度在中限左右。力學性能試樣使用水玻璃砂制作砂芯,直徑30 mm的內腔使用醇基涂料。試驗對象為26 kg多熱節鑄件,鑄件結構與底注充型工藝如圖1所示。

圖1 鑄件結構及工藝
2、試驗內容與結果分析
2.1 鈦對灰鑄鐵件組織和力學性能的影響
鈦可增加灰鑄鐵中奧氏體核心,細化初生奧氏體晶粒。美國鑄造工作者協會資料中指出:對于鑄鐵鈦可起石墨化劑和還原劑的作用,還可以細化晶粒,提高鑄鐵抗拉強度和抗彎強度。當殘余鈦量為0.08%~0.25%,對碳當量高的鑄鐵可提高抗拉強度,對碳當量低的鑄鐵降低強度。但論述并沒有指出鈦對中間碳當量灰鑄鐵件的影響,因此試驗由中低碳當量灰鑄鐵展開。方案:每爐鐵液澆注3~4箱進行對比,第1箱一般采用基本HT250鐵液成分,只加入孕育劑,不添加鈦合金,第2~4箱加入不同含量鈦合金,合金依次加入爐內。每包澆注2~4個試棒,1箱鑄件。
前兩次鑄件采用水玻璃砂造型,后兩次改用粘土煤粉砂造型,鐵液成分如表1所示,力學性能和組織檢測結果如表2所示。
表1 鐵液成分 wB/%

表2 力學性能和石墨形態

從4次試驗平均力學性能對比看出,第一次、第二次試驗平均強度隨著鈦量的增加而下降,第三次、第四次試驗平均強度隨著鈦量的增加而提高。這是因為加入鈦后增加了鐵液的過冷傾向,前兩次試驗鈦含量相對較低,試棒組織中出現A型、D型石墨少、E型石墨多,造成強度下降。尤其是第一次試驗碳當量最低,強度下降幅度最大,達41 MPa。后兩次試驗鈦含量相對較高,試棒組織中出現A型、D型石墨多、E型石墨少,造成強度增加。此外第三次試驗的總體強度偏高是由于三個試樣的Si/C在0.72%~0.76%之間。資料指出含鈦鑄鐵≥0.64%的Si/C能顯著提高鑄件力學性能。
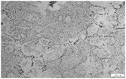
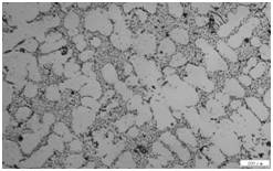
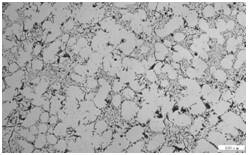
鈦含量提高進一步促進了A型石墨向D型石墨的轉變,D型石墨數量增多。后兩次鑄件采用粘土煤粉砂造型,鑄件中D型石墨明顯多于試棒,在厚大熱節部位也大量出現D型石墨,見圖2-圖4。

圖2 鈦0.076%鑄件圓熱節石墨形態

圖3 鈦0.11%鑄件方熱節石墨形態

圖4 鈦0.11%鑄件一般壁厚石墨形態
第四次試驗鐵液中鈦含量為0.11%,試棒平均提高了17MPa,這是由于高鈦試棒組織中90%以上為D型石墨,因而力學性能增加,采用粘土濕型砂的鑄件由于冷卻快,在鑄件熱節部位產生大量D型石墨。由于有鉻、銅合金的作用,全D型鑄件厚大部位的基體中珠光體量也在90%以上,抵消了D型石墨對基體組組織的影響。
試驗結果表明,在鈦含量較低的干型鑄造中,鐵液的過冷傾向較小,多產生A型、E型石墨,但隨著鈦含量增加,過冷傾向增大,促進了D型石墨增多,當D型石墨達90%以上,鑄件力學性能明顯提高。由于濕型砂過冷傾向大,以及鈦含量增加,鑄件的厚大熱節部位也出現大量的D型石墨。
鈦增加了灰鑄鐵鐵液的過冷傾向,使石墨大量分枝,眾多短小、彎曲的D型石墨縮短了碳的擴散距離,使石墨附近的奧氏體在鑄件冷卻過程轉化成鐵素體,導致力學性能降低。但是由于奧氏體枝晶多,D型石墨短小,基體割裂作用小。此外,D型石墨共晶團有良好的團球狀外形等原因,與相同基體的鑄鐵相比,D型石墨鑄鐵具有較高的強度。
2.2 鈦、鋁對致密性的影響
熔煉中生鐵或廢鋼帶入的鈦不僅影響灰鑄鐵件的加工性能,產生的縮松缺陷,又對鑄件的致密性產生影響。試驗采用低鈦鐵液,通過添加一定量的鈦鐵,研究不同鈦含量下灰鐵件縮松出現的概率。由于鈦合金中含有一定量的鋁,而一定量的鋁也可能對鑄件的縮松產生影響,因此在影響因素分析和化學檢測中考慮了鋁的因素。
熔煉采用的主要爐料配比:生鐵45%,回爐料20%,廢鋼35%以及部分高溫石墨化增碳劑。每爐鐵液同時澆注3~4箱鑄件,以便分析鑄件出現縮松概率。鐵液成分與缺陷概率統計如表3、表4所示。
表3 鐵液成分 wB/%

表4 鑄件縮松概率


圖5 鑄件一般壁厚上的縮松

圖6 鑄件熱節部位的縮松
不同鈦含量對比試驗結果表明:較低鈦含量的灰鑄鐵件并未出現內部縮松,表面縮陷較輕,隨著鈦含量增加,鑄件內部縮松出現的概率不斷增加。在0.056%Ti、0.016%Al出現縮松概率較低,僅為50%。當灰鑄鐵件中鈦、鋁含量分別達到0.17%、0.023%時,鑄件出現內部縮松概率為75%。此時不僅鑄件熱節部位出現縮松,非熱節和小熱節部位也出現縮松。鑄件不同部位出現的縮松特征如圖5、圖6所示。
關于鈦產生縮松的原因,目前尚沒有明確機理分析。對于鋁的影響,資料指出鐵液中鋁含量的增加,與孕育劑、濕型砂中水分子在熾熱鐵液作用下發生反應,形成氫氣。金屬液含氫量較高,凝固過程中殘余液相中的溶解氫不斷地富集,使孤立的小熔池中液相的含氫量更高。小熔池由液相轉變成固相發生體積虧損的同時,溶解氫也會析出而占據小熔池的空間,成為析出氣孔。此時晶間縮松和氫析出氣孔兩種缺陷是共生的,難以區分。因此,要消除晶間縮松,還必須采取防止析出氣孔的對策,盡量減少金屬液含氫量。所以鈦和鋁的綜合作用下容易形成這種顯微縮松和顯微氣孔復合缺陷。
3、結論
試驗結果表明,灰鑄鐵件在3.65%~3.85%CE條件下:
?。?)一定量的鈦增加了鐵液的過冷傾向,促進了灰鑄鐵件D型石墨的形成,濕型砂造型D型石墨明顯多于干型砂。
?。?)隨著鐵液中鈦量的增加,灰鑄鐵件中D型石墨不斷增加。當D型石墨達到較高比例時,鑄件中的厚大熱節也大量出現D型石墨,碳當量和硅碳比較高的鑄件力學性能明顯增加;當碳當量降為3.66%,隨著鈦量增加,強度下降幅度大。
?。?)隨著鈦量和鋁量的增加,灰鑄鐵件的致密性下降,縮松概率明顯增加。Ti 0.17%、Al 0.023%時,該灰鑄件縮松概率為70%。




